Warum eure Dentalfotos nicht das zeigen, was ihr eigentlich könnt (dentalfotografie)
Ihr gebt euch Mühe, ihr habt sogar investiert – aber die Fotos (dentalfotografie) sehen aus wie vorher?

Willkommen im Alltag vieler Praxen. In diesem Artikel erfahrt ihr, woran es wirklich liegt – und wie ihr euer Können endlich sichtbar macht.
Was eure Bilder über eure Arbeit sagen (und was nicht)
Viele Praxen investieren in hochwertiges Equipment – und sind dann enttäuscht, wenn die Fotos (dentalfotografie) den gewünschten Effekt haben. Warum?
Weil Technik allein nicht reicht.
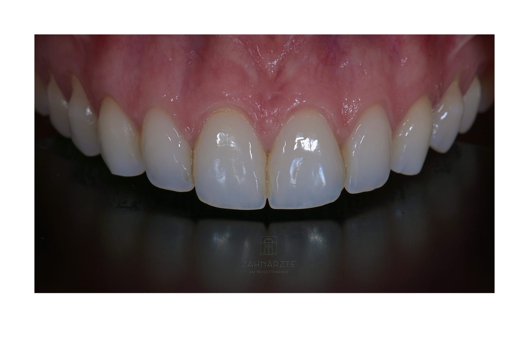
Das Bild transportiert mehr als nur eine Zahnsituation: Es zeigt Präzision, Ästhetik und Anspruch. Oder eben nicht.
Teures Equipment = gute Bilder? Leider nein.
Nur weil eine Kamera mehrere Tausend Euro kostet, entstehen noch lange keine brauchbaren Dentalfotos (dentalfotografie)
Es braucht Verständnis für Perspektive, Belichtung, Positionierung und Bildführung.
Ohne dieses Know-how bleibt selbst das teuerste Setup unter seinen Möglichkeiten.

Die wahre Ursache für schlechte Fotos
Das Problem liegt oft nicht an der Technik, sondern an der fehlenden Routine. Wenn das Team die Einstellungen nicht kennt, keine klaren Abläufe hat oder das Ziel des Fotos (dentalfotografie) versteht, wird aus jeder Aufnahme ein Glücksspiel. Und das sieht man den Bildern an.
Was ihr ändern müsst – ohne alles neu zu kaufen
Die gute Nachricht: Ihr müsst kein neues Equipment kaufen. Ihr müsst nur lernen, das Beste aus dem Bestehenden herauszuholen. Das bedeutet: Schulung, klare Standards, interne Zuständigkeiten und ein bewährter Workflow – angepasst an euren Praxisalltag.

Fazit / Schluss: Eure Fotos sind eure Visitenkarte – nach innen und außen. Wenn ihr wollt, dass man eure Qualität erkennt, dann hört auf, nur an der Technik zu drehen. Holt euch die Kompetenz, die euch sichtbar macht. Ich helfe euch dabei – mit einem Workshop, der aus eurem Team echte Fotoheld:innen macht.
@dentalfotografie